ما هي أفضل طرق علاج نخر الضرس؟ وكيف يمكن الوقاية منه؟

ماهو نخر الضرس و سبب تسوس الأسنان ؟

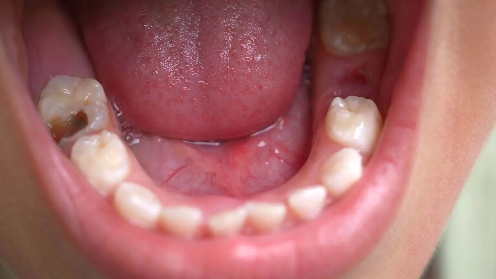
نخر الضرس هو تسوس الأسنان وحدوث تآكل في طبقاتها الخارجية والداخلية الأكثر إحساسًا بالألم عن طريق ثقوب صغيرة تحدثها البكتيريا المسببة لها، إذ تتغذى البكتيريا الموجودة طبيعيًا في الفم على بقايا الطعام وتفرز أحماضًا تسبب تآكل طبقات الأسنان وعند تركها بدون علاج تحدث بعض المضاعفات والتي تتباين ما بين الألم وعدم القدرة على مضغ الطعام بصورة طبيعية إلى تكوّن الخراج وفقدان السن وفيما يلي سنتعرف إلى طرق علاج نخر الضرس وأسبابه حتى يمكن تجنبها.

ما هو سبب نخر الضرس؟

تتعدد العوامل المسببة لنخر الضروس ونذكرها فيما يلي:

  • تدمير ونزع المعادن من الطبقة الخارجية للأسنان عن طريق إفراز الأحماض بواسطة البكتيريا المخمرة للطعام ويحدث ذلك على فترات طويلة.
  • تجمع البلاك، وهو طبقة رفيعة تتكوّن من بقايا الطعام وبالأخص عند إهمال غسل الأسنان بعد تناول المواد السكرية والنشوية، إذ تلتصق بالأسنان وعند تركها فترة طويلة يصبح البلاك صلبًا ويطلق عليه اسم جير الأسنان.
  • التدخين وعدم المحافظة على نظافة الفم والأسنان.
  • عدم غسل الأسنان باستمرار بعد تناول الطعام.
  • اتباع نظام غذائي غير صحي كثير النشويات والسكريات.

ما طريقة تشخيص نخر الضرس؟

يشخّص طبيب الأسنان نخر الضرس من خلال السؤال عن الأعراض، وأيضًا باستخدام أدوات معينة يجد من خلالها أن جزءًا من الأسنان أصبح طريًا وتحوّل للون البني أو الأسود وبعدها يمكن عمل أشعة الأسنان لتأكيد التشخيص.

كيف أعرف أن الضرس منخور؟

قد لا يشعر المريض بأعراض شديدة في حالة تسوس الأسنان الذي يشمل الطبقة الخارجية فقط، ولكن عندما يشمل الطبقات الداخلية مثل طبقة العاج (Dentin) وعصب السن (Pulp) قد يسبب بعض الأعراض ومنها:

  • رائحة كريهة بالفم أو طعم سيء.
  • ألم عند المضغ في بعض الأسنان أو عند الضغط عليها.
  • تصبغات ذات لون أبيض أو بني أو أسود.
  • وجود فتحات في الأسنان والتي قد تُرى بالعين المجردة في المرآة.
  • الشعور بحساسية عند تناول الأطعمة الباردة والساخنة.
  • نزيف اللثة والتهابها.

ما هي أبرز النصائح للوقاية من نخر الضروس؟

الحفاظ على نظافة الفم والأسنان يقي من نخر الضروس وذلك عن طريق:

  • غسيل الأسنان مرتين يوميًا وخاصة قبل النوم وبعد الوجبات بمعجون أسنان يحتوي على الفلورايد.
  • استخدام الخيط الطبي لإزالة بقايا الطعام بين الأسنان.
  • استخدام مضمضة تحتوي على الفلورايد حسب توصيات الطبيب وهذا لدى الحالات التي تكون أكثر عرضة لتسوس الأسنان.
  • تناول مياه شرب تحتوي على الفلورايد بالنسبة المسموحة.
  • تجنب تناول الوجبات الخفيفة بكثرة خلال اليوم ( سناكس)؛ لأنّها تحفز البكتيريا على إفراز الأحماض التي تدمر الأسنان.
  • تجنب الأطعمة التي تلتصق بالأسنان لوقت طويل.
  • اتباع نظام غذائي صحي قليل السكريات والنشويات.
  • تناول الخضراوات والفواكه الطازجة التي تزيد من إفراز اللعاب وتساعد على إزالة بقايا الطعام من الفم، مثل: الجزر والتفاح.

ما الفرق بين تسوس الضرس ونخر الضرس؟

يحدث تسوس الأسنان على عدة مراحل، أولها هي فقدان السن للمعادن ثم تصبغها، وبعدها يحدث  نخر الضرس بواسطة البكتيريا فيتسبب بوجود فتحات وثقوب بالأسنان.

ما هي طرق علاج نخر الضرس؟

قد تكون هناك فرصة أكبر لوقف التسوس وتفادي تطوره عند البدء في علاج نخر الضرس في مراحله الأولى، إذ إن البدء في علاج التسوس يكون أفضل قبل تفاقم الألم.  

يعتمد علاج نخر الضرس على درجة التسوس وعمقه ونستعرض بعض طرق العلاج فيما يلي:

  • العلاج بالفلورايد: يكون هذا النوع من طرق العلاج مناسبًا إذا كان التسوس في بدايته، إذ يساعد فلورايد الأسنان على تعويض المعادن المفقودة من طبقة مينا الأسنان ويساعد أحيانًا على إيقاف التسوس. يكون على هيئة سائل، أو جيل، أو رغوة، أو طلاء. يوضع الفلورايد في قالب على شكل الأسنان أو يضعه الطبيب بواسطة فرشاة ثم يغسله بعدها بالماء ويكرر على حسب الحاجة.
  • حشوات الأسنان: من أشهر الطرق لعلاج نخر الأسنان، وتتعدد أنواعها، فمنها ما يكون نفس لون الأسنان مثل حشو الكمبوزيت والسيراميك والحشو الزجاجي. هناك أيضًا حشوات أخرى، مثل: حشو الأملغم والحشوات الذهبية، ولكنها نادرًا ما تستخدم حاليًا.
  • تيجان الأسنان: يكون هذا النوع من طرق العلاج مناسبًا إذا كان التسوس متقدمًا أو إذا كان هناك ضعف بالأسنان، حينها يقترح الطبيب عمل غطاء كامل للأسنان ليماثل الشكل الطبيعي للسن لحماية الجزء المتبقي من الكسر وتعويض المظهر أيضًا، ويُصنع من البورسلين أو البورسلين المدعوم بطبقة معدنية.
  • علاج عصب الأسنان: وذلك عند وصول التسوس للطبقة الداخلية للسن التي تحتوي على الأوعية الدموية والأعصاب فيجب حينها إزالة العصب الملتهب ووضع حشو خاص بجذور الأسنان.
  • خلع الضرس: وذلك عند حدوث ضرر شديد للضرس لا يصلحه الحشو فيضطر الطبيب لإزالته ويعرض البدائل المتاحة لتعويض السن، مثل: الزرع أو جسر الأسنان.

ما هي خطورة نخر الضرس؟

لا يؤثر نخر الضرس في الأسنان فقط، ولكن أيضًا على اللثة وعظام الفك إذا تُرك دون علاج وقد يؤدي إلى بعض المضاعفات ومنها:

  • فقدان أجزاء من السن وانتشار البكتيريا للطبقات الداخلية، ما يسبب ألم الأسنان.
  • التهابات اللثة ونزيفها والتهاب دواعم الأسنان.
  • تكوّن خراج الأسنان وهو جيب به صديد، وهذا في الحالات المتقدمة من وصول البكتيريا لجذور الضرس.
  • شدة الألم التي قد تمنع الشخص من ممارسة حياته الطبيعية.

كيفية تجنب حدوث نخر الضرس

يساعدك الحفاظ على نظافة الفم والأسنان على تجنب إصابة الضرس بالتسوس والنخر وذلك عن طريق:  

  • غسيل الأسنان مرتين يوميًا وخاصة بعد الأكل وقبل النوم بمعجون أسنان غني بالفلورايد.
  • وضع طلاء الفلورايد من قبل طبيب الأسنان، إذ يعمل على منع التسوس للأشخاص الأكثر عرضة وقد أوصت الجمعية الأمريكية لطب الأسنان باستخدامه بنسبة 2.26% كل 3-6 أشهر.
  • استخدام خيط تنظيف الأسنان الطبي لإزالة بقايا الطعام بين الأسنان.
  • الحد من تناول الوجبات الخفيفة التي تلتصق بالأسنان، مثل الأطعمة المحتوية على سكريات ونشويات.
  • اتباع نظام غذائي صحي.
  • الحد من التدخين وشرب المشروبات الغازية.
  • تناول الفاكهة والخضراوات الطازجة المحتوية على الألياف والتي تعمل على تنظيف الأسنان، مثل: الجزر.
  • تجنب غسل الأسنان مباشرةً بعد تناول العصائر الحمضية، لما قد يسببه ذلك من تآكل في طبقة المينا.
  • الالتزام بالزيارة الدورية لطبيب الأسنان كل 6 أشهر للكشف عن التسوس في مراحله الأولى.

ما هو أفضل دواء لألم الأسنان؟

أفضل دواء لألم الأسنان هو جرعة 500 مجم من الباراسيتامول وإذا كان الألم شديدًا يفضل استخدام مسكن مضاد للالتهاب (NSAID)، مثل: الإيبوبروفين 400 مجم ويمكن أن يستخدما بالتبادل.

اختر طبيبك من بين أفضل اطباء اسنان في جدة (اخصائيين واستشاريين|مراكز اندلسية لطب الاسنان من هنـــــــــا

مشاركة

تسوس الأسنان
اتصل بنا

دعنا نتحدث، تواصل معنا

هل لديك أي استفسار أو تعليق؟ نحن هنا لمساعدتك، أرسل لنا رسالة وسنرد عليك خلال ٢٤ ساعة.

ابدأ رحلتك نحو صحة أفضل الآن

اتصل بنا اليوم لتحديد موعدك وابدأ رحلتك نحو صحة أفضل