ماهي مشكلة صرير الأسنان اثناء النوم والمضاعفات والعلاج؟

صرير الأسنان وهل يجب القلق منه ؟

كشفت دراسة نُشرت عام 2021 عن أن صرير الأسنان انتشر بين الأطفال الخاضعين للدراسة في السعودية بنسبة  45.7 ٪ وهي نسبة لا يُستهان بها. تهدف مثل هذه الدراسات إلى زيادة وعي الآباء والأمهات عن معنى صرير الأسنان وتوضيح سُبل كشفها عند أطفالهم.

 يشكل تشخيص صرير الأسنان تحدياً مستمراً لأطباء الأسنان ومقدمي الرعاية الصحيّة ويلعب ذلك دوراً هاماً  في انتشار معدل حدوث صرير الأسنان عند الكبار والصغار.

اقرأ أيضاً :

امراض الاسنان واللثة وهل لها علاقة بصرير الأسنان ؟ 

ما هو صرير الأسنان ؟

هو حدث غير واعٍ يُطبق فيها الشخص أسنانه بشدة أو بمصطلح آخر يطحن أسنانه بشكل لاإرادي، لا يعتبر الأمر مرضياً إلا إذا حدث بشكل مزمن فتتطور الحالات المزمنة لتحدث خلال فترة الاستيقاظ أو النوم، وتكون مرتبطة في أغلب الحالات بالإرهاق أو القلق أو الإجهاد العاطفي أو الخوف أو أمراض أخرى.

صرير الأسنان عند الأطفال

أشارت الدراسات المجراة بين عامي 2014 إلى 2021 أن معدلات انتشار صرير الأسنان عند الأطفال تتفاوت بشكل كبير من 13٪ إلى 49٪، كما أن مسببات صرير الأسنان معقدة ولا زالت غير مفهومة. يلاحظ عادةً الوالدان الحالة أولاً لأنهما يستطيعان سماع أصوات الطحن في الليل، على الرغم من ذلك يجهل الكثير من الناس عواقب الأمر على طفلهم. قد يكون:

مدى خطورة صرير الأسنان

●    عامل خطر لتطوير ضعف المضغ.
●    سبب تآكل الأسنان  عند الطفل والألم والصداع على المدى الطويل.
●    مؤشراً إلى اضطرابات النوم وصعوبات في التنفس .
●    ناتج عن زيادة نشاط العضلات أو اضطرابات معدل ضربات القلب.

 يجب إجراء زيارة دورية لطبيب الأسنان الخاص بالطفل، إذ أن ذلك يساعد على  تشخيص إصابة الطفل بهذه الحالة بشكل علمي. تلفت بعض الأعراض انتباه الأهل ويجب عليهم إبلاغ الطبيب عنها مثل:

●     صوت طحن الأسنان في الليل.
●    شكاوى الطفل المستمرة من ألم بالوجه أو ألم في الفك السفلي.
●    كثرة استيقاظ الطفل أثناء الليل دون سبب.

ما هو السبب الرئيسي لـ طحن الأسنان ؟

الأسباب الرئيسية لـ صرير الأسنان هي الاجهاد والقلق. بشكل عام، يحدث صرير الأسنان نتاج مجموعة من العوامل الجسدية والنفسية والوراثية.

هناك نوعان من صرير الأسنان :

يمكن أن تحدث ليلاً أثناء النوم وخلال النهار 
صرير الأسنان خلال اليوم وأنت مستيقظ يحدث عندما تطحن أسنانك بدون وعي خلال النهار. معظم الناس يطحنون أسنانهم إذا كانوا يشعرون بالقلق او التوتر ،أو عندما يحاولون التركيز في شيء ما
هل صرير الأسنان وقت النوم وراثي ، لذلك إذا كان أحد الأفراد في العائلة يعاني من صرير الأسنان ، قد تكون أكثر عرضة له 
يحدث صرير الأسنان أغلب الأوقات عند النوم في الليل عندما تطحن أسنانك بسبب نمط النوم المضطربة، أو إذا كنت تعاني من انقطاع النَفَس أثناء النوم، وقد تسبب الهلوسة أو الرعب الليلي أيضاً صرير الأسنان.
إذا كنت شخصاً عدوانياً أو شديد المنافسة والنشاط، قد تكون أكثر عرضة لصرير الأسنان. بعض الأدوية قد تسبب في ذلك أيضاً ولكنه أمر نادر، وقد تزيد بعض العادات مثل التدخين والكافيين والكحول من صرير الأسنان.

اعراض صرير الأسنان

تختلف شدة الأعراض واستمرارية الحالة من شخص إلى آخر إلا أنها غالباً ما تظهر عبر أعراض عامة تقلل من احتمالية كشف الأمر من قِبل غير المختصين ومن هذه العلامات:

●    زيادة ألم وحساسية الأسنان.

●    ألم أو الشد أثناء حركة عضلات الفك يسمى غالباً اضطراب الفك الصدغي (TMD) ويظهر على شكل فك مغلق لا يفتح ويغلق بشكله الطبيعي.

●    امتداد الألم إلى الوجه والرقبة وتيبس الكتف دون أسباب مرضية أخرى.

●    ألم الأذن.

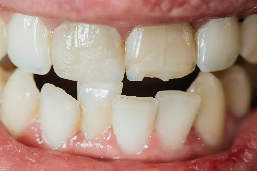
●    تُلاحظ أن الأسنان أصبحت بالية أو مكسورة، والتي يمكن أن تسبب حساسية متزايدة وفقدان الأسنان والحشوات.

اقرأ أيضاً: أفضل طرق علاج تاكل عظام الاسنان.

●    التهاب وانحسار اللثة.

●    ترافق الحالة مع النوم المضطرب والصداع المستمر.

الجدير بالذكر أن هذه الأعراض قد لا تشير بالضرورة إلى علاقة سببية مباشرة. إذ أن الأسباب وراء صرير تطاحن الأسنان (صريف الأسنان) سيتم ذكرها في السطور التالية.

اقرأ أيضاً: ألم الأسنان وطرق علاجه.

أسباب صرير الأسنان

تجمع مشكلة صرير الأسنان بين المسببات الفيزيولوجية المرضية والعيوب الخلقية والاضطرابات النفسية، إلا أن السبب الرئيسي لإحداثها غير واضح بعد، قد يترافق حدوث صرير الأسنان مع واحد أو أكثر من العوامل التالية:

●    اضطرابات في المشاعر مثل القلق أو التوتر أو الغضب أو الإحباط أو أثناء التركيز العميق أو العمل الشاق، حيث وجد أن ما يقرب من 70٪ من صرير الأسنان يحدث نتيجة للتوتر أو القلق.

●    استخدام بعض الأدوية مثل مضادات الاكتئاب من زمرة مثبطات استرداد السيروتونين الانتقائية (SSRI).

●    عوامل متعلقة بنمط الحياة مثل التدخين الشره والإفراط في المنبهات.

●    تلعب الاضطرابات العصبية دوراً هاماً، إذ أن غالباً ما يصيب صرير الأسنان مرضى باركنسون وداء هنتنغتون ( يتسبب في الانهيار التدريجي للخلايا العصبية في الدماغ).

●    اضطرابات النوم والتنفس مثل الشخير وتوقف التنفس أثناء النوم Obstructive Sleep Apnea.

تُشير الأبحاث الحديثة إلى أنه لا تدخل لمشاكل الإطباق ولا العوامل المتعلقة بالهيكل العظمي للوجه أو الفكين في مسببات صرير الأسنان. 

مضاعفات صرير الأسنان

لا تُحدث هذه المشكلة في الكثير من الأحيان مضاعفات خطيرة، إلا أنها إذا تطورت وأصبحت حالة مزمنة دون تلقي العلاج المناسب قد تترك أضراراً وخيمة مثل: 
●    تلف الأسنان أو الترميمات أو التيجان أو الفك.

تعرّف على: تيجان الأسنان.

●    الصداع الشديد غير مستجيب للمسكنات بفعالية مُجدية. تذكر الأبحاث أن من يعانون من صرير الأسنان أكثر عرضة بثلاثة مرات للإصابة بالصداع.

●    ألم شديد في الوجه أو الفك.

●    الاضطرابات التي تحدث في مفاصل الفك الصدغي (TMJs)، الواقعة أمام الأذن مباشرةً، والتي قد تبدو مثل النقر عند فتح الفم وإغلاقه.

علاج صرير الأسنان

يبني الطبيب المختص طرق العلاج حسب تشخيصه السريري للسبب، إذا كان التوتر هو السبب قد يلجأ للعلاجات الدوائية وتوجيه مريضه إلى تمارين إدارة الغضب وتمارين التأمل. في حالات اضطرابات النوم أيضاً قد تفيد العلاجات الدوائية على حل الأمر من جذوره.

يوجد العديد من المحاولات البحثية لإيجاد طرق العلاج المثلى وتخفيف عواقب الأمر على المدى البعيد، إلا أنه لا يزال العلاجات الوحيدة المؤكدة لحالة صرير الأسنان هم:

●     أجهزة تقدم الفك السفلي وهو جهاز طبي يوضع من قِبل الطبيب بطريقة متخصصة، حيث يُصنع لكل مريض على قدر حالاته. يعمل على دفع الفك السفلي للأمام وبالتالي يساعد على فتح المجرى التنفسي والحد من صرير الأسنان.

تعرّف أيضاً: تقويم أسنان الفك السفلي فقط.

●    الجبائر الإطباقية: هي واقيات الفم البلاستيكية التي يمكن وضعها على الفور دون الحاجة لمختص. وجدت الدراسات حول استخدام هذه الجبائر أنها قادرة على حماية الأسنان من التآكل المبكر، والتقليل من نشاط عضلات الفك وضوضاء صرير الأسنان.

من الواجب ذكر أن لهذه الجبائر عدة مسميات أخرى شائعة منها واقي عضة الإطباق، وجهاز صرير الأسنان، ولوحة العضة، والحارس الليلي كلها تُشير إلى ذات الوسيلة وذات النتيجة.
يهدف التشخيص المبكر لحالة صرير الأسنان إلى تدارك كلا الآثار قصيرة الأمد والآثار طويلة الأمد، وبما أن الوقاية تبقى خيراً من العلاج لذا تجنب أو قلل من الكافيين وقم بإرخاء عضلات الفك في الليل عن طريق وضع منشفة دافئة على خدك والجأ لسبل تقلل التوتر في حياتك ووجه كل إرادتك لتقلع عن التدخين.

اختر طبيبك من بين أفضل اطباء اسنان في جدة (اخصائيين واستشاريين|مراكز اندلسية لطب الاسنان من هنـــــــــا

 

مشاركة

معلومات عامة
اتصل بنا

دعنا نتحدث، تواصل معنا

هل لديك أي استفسار أو تعليق؟ نحن هنا لمساعدتك، أرسل لنا رسالة وسنرد عليك خلال ٢٤ ساعة.

ابدأ رحلتك نحو صحة أفضل الآن

اتصل بنا اليوم لتحديد موعدك وابدأ رحلتك نحو صحة أفضل