

مصطلح تآكل الاسنان هو مصطلح عام يمكن استخدامه لوصف الفقد السطحي للأنسجة الصلبة للأسنان لأسباب أخرى غير تسوس الأسنان أو الصدمات أو نتيجة لاضطرابات النمو.
تآكل الاسنان هو فقدان لا رجعة فيه لبنية الأسنان وغالبًا ما يكون مؤلمًا وقبيحًا ويضعف وظيفة الأسنان. يمكن أن يكون الضرر أيضًا مكلفًا ويصعب إصلاحه وهناك ثلاثة أنواع من تآكل الأسنان ويصعب أحيانًا تحديد نوع تآكل الأسنان الموجود لأن الأنواع المختلفة تحدث معًا في كثير من الأحيان.
الكشط أو الخدش: التآكل الناجم عن شيء آخر غير ملامسة الأسنان للأسنان على سبيل المثال. تنظيف الأسنان المفرط أو غير المناسب والاستخدام المتكرر لعود الأسنان أو وضع دبابيس الشعر بين الأسنان.
الاحتكاك: فقدان بنية السن نتيجة ملامسة الأسنان ، مثل طحن الأسنان.
التعرية : إذابة مينا الأسنان بسبب وجود الأحماض في الفم.
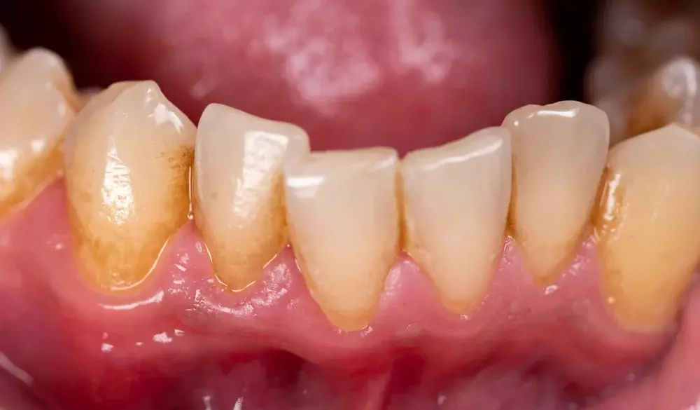
تشمل أولى علامات تآكل الأسنان ما يلي:
1. ظهور أسنان صفراء (بسبب أنسجة داكنة اللون تظهر من خلال ترقق مينا الأسنان)
2. تبدو الأسنان مصقولة وناعمة (بسبب تآكل سطح السن)
3. يبدو أن الأسنان أصبحت أقصر
4. حشوات أعلى من سطح السن المحيط
5. أسطح مضغ الأسنان تظهر حفر ناعمة مقعرة
6. أسنان حساسة.
أسباب تآكل الاسنان هو الهجوم الحمضي.
1. تحتوي العديد من المشروبات بما في ذلك المشروبات الغازية ومشروبات الطاقة والمشروبات الرياضية والكحول وعصائر الفاكهة على أحماض وتحتوي معظم هذه المشروبات أيضًا على نسبة عالية من السكر يمكن أن تسبب تسوس الأسنان.
2. النظام الغذائي الغني بالأطعمة والمشروبات الحمضية يمكن أن يسبب تآكل الأسنان. كلما انخفض الرقم الهيدروجيني للمنتج زادت حمضيته. أي طعام أو شراب بدرجة حموضة أقل من خمسة قد يكون من أسباب تأكل الأسنان وحساسية الأسنان.
3. جفاف الفم مما يزيد من خطر الضرر الناجم عن هجوم الحمض هو من أسباب تآكل الاسنان
4. تلامس حمض المعدة بالأسنان بسبب القيء من حالات مثل الشره المرضي وغثيان الصباح والارتجاع المعدي أيضا من أسباب تآكل الأسنان.
1. تناول نظامًا غذائيًا متوازنًا وقلل من كمية الأطعمة والمشروبات الحمضية والسكرية وحاول الحد من تناول الوجبات الخفيفة.
2. تجنب تناول المشروبات الحمضية لأن ذلك يزيد من احتمالية تآكل الاسنان .
3. عند الشرب استخدم ماصة كلما أمكن ذلك لأن ذلك يقلل من تعرض المشروب لأسنانك.
4. امضغ علكة خالية من السكر لتحفيز تدفق اللعاب وغسل الأحماض بعيدًا.
5. تجنب المشروبات المحتوية على الكافيين لأن الكافيين يسبب الجفاف.
6. لا تنظف أسنانك بالفرشاة فور تناول أو شرب الأطعمة أو المشروبات الحمضية أو السكرية لأن مينا الأسنان سوف ينعم ويمكن "إزالته".
يبدأ معظم الأطفال في فقدان أسنانهم اللبنية في سن السادسة تقريبًا عندما تفقد أسنانهم الوسطى التي تسمى القواطع. سوف يفقدون باستمرار أسنانًا أخرى على مدار السنوات القليلة المقبلة انتهاء بأضراسهم الخلفية والتي عادةً ما تُفقد في سن 10-12 عامًا ويتم استبدالها بالكامل بأسنان دائمة بحلول سن 13.
يميل الأطفال إلى خلخلة أسنانهم الرخوة لحملها على السقوط. في بعض الأحيان إذا لم يتم فك السن الأساسي بشكل كافٍ من تلقاء نفسه ، فقد يقترح طبيب أسنان طفلك خلعه.
إذا فقد طفلك أسنانه اللبنية بسبب التسوس أو الحوادث في وقت مبكر جدًا فقد يتسبب ذلك في مشاكل في ظهور الأسنان الدائمة في وقت مبكر جدًا.
بالنسبة للبالغين يحدث أهتزاز الأسنان عندما يفقد السن الدعم وينفصل ببطء عن العظم. يمكن أن تؤدي اللمسات الصغيرة أو حتى الأكل والمضغ إلى تفاقم المشكلة.

1. يبدو أن السن المفكك ينحرف عن خط اللثة ويمكن تحريكه بإصبعك أو بلسانك. علامات أخرى
2. اللثة الحمراء والطرية
3. تورم اللثة
4. نزيف اللثة
5. قد لا يكون نزيف اللثة عادة مدعاة للقلق ، ولكنه قد يكون أيضًا أحد أعراض مشاكل أكثر خطورة ، مثل نقص الفيتامينات.
قد يكون لتخلخل الأسنان عدة أسباب محتملة منها:
1. مرض اللثة المعروف أيضًا باسم التهاب دواعم السن: هو سبب شائع لفقدان الأسنان. هنا تؤثر العدوى داخل اللثة على مدى قوة اللثة. قد يؤدي تدهور قوة اللثة إلى فقدان أسنانك
2. الإصابة أو الصدمة: إذا تعرضت لضربة في الفم وفقد أحد الأسنان .
3. صرير الأسنان: يمكن أن يساهم الضغط الإضافي الذي تضعه على فكك عند طحن أسنانك في إرخاء الأسنان.
يعد اتباع روتين صحي للعناية بالفم أمرًا ضروريًا للحصول على لثة صحية. يمكن أن يكون البلاك الذي لم تتم إزالته من أسنانك و خط اللثة سببًا لترهل الأسنان. إذا تركت البلاك على أسنانك وعلى خط اللثة فقد يؤدي ذلك إلى التهاب اللثة وهو التهاب في اللثة يمكن أن يؤدي إلى أمراض اللثة.
للمساعدة في منع تراكم الترسبات
1. استخدم خيط الأسنان المائي مرة في اليوم
2. اغسل أسنانك بالفرشاة مرتين في اليوم
3. لكن تذكر ألا تنظف أسنانك ولثتك بقوة: الضغط على فرشاة الأسنان أثناء تنظيف الأسنان بالفرشاة قد يؤدي إلى تدهور حالة الأسنان.
● أمراض اللثة
هى السبب الأول لفقدان الأسنان بين البالغين وهو ما يمثل 70 بالمائة من الأسنان المفقودة.
يبدأ بالبكتيريا والتهاب اللثة. مع تقدمه فإنه يدمر أنسجة اللثة ويمكن أن يدمر عظم الفك أسفل اللثة مما يؤدي إلى عدم وجود دعم للأسنان.
هي ثقوب في الأسنان ناتجة عن عدوى بكتيرية تتحول إلى تسوس الأسنان. إذا لم يتم علاجه يمكن أن يؤدي التجويف إلى تدمير اللب الموجود في وسط السن مما يؤدي على الأرجح إلى اصابة قناة الجذر أو حتى إزالة السن.
منع تسوس الأسنان من خلال اتباع عادات صحية جيدة للفم واختيار الأطعمة والمشروبات الصحية والقيام برحلات منتظمة لطبيب الأسنان للكشف والعلاج المبكر الذى يمكن أن ينقذ أسنانك.
● إصابة أو صدمة بالفم
تقع الحوادث خاصة أثناء ممارسة الرياضة وهذا هو سبب أهمية واقيات الفم. كما يمكن أن يتسبب السقوط وحوادث السيارات وغيرها في فقدان الأسنان. ومع ذلك يمكنك أن تكون يقظًا لتجنب بعض الأسباب الشائعة لفقدان الأسنان أو تلفها من خلال الحوادث. لا تستخدم أسنانك لفتح قشور الجوز أو لفك العقد أو تمزيق العلامات أو قص الخيوط أو لمضغ الثلج إذا كنت تريد التأكد من بقاء أسنانك سليمة.
● الأمراض وعوامل الخطر الأخرى
1. بالإضافة إلى أمراض اللثة يمكن أن تؤدي هذه الأمراض وعوامل الخطر إلى فقدان الأسنان:
2. داء السكري
3. ارتفاع ضغط الدم
4. التدخين
5. سوء التغذية
تأكد من ذكر أي أمراض أو عوامل تتعلق بنمط الحياة وطرق العناية بالفم والأسنان لطبيب أسنانك حتى تتمكن من العمل معًا لمنع فقدان الأسنان
اختر طبيبك من بين أفضل اطباء اسنان في جدة (اخصائيين واستشاريين|مراكز اندلسية لطب الاسنان من هنـــــــــا
مشاركة
هل لديك أي استفسار أو تعليق؟ نحن هنا لمساعدتك، أرسل لنا رسالة وسنرد عليك خلال ٢٤ ساعة.