ما هو التسوس الأبيض؟ وما الفرق بينه وبين التسوس الأسود؟

ما هو التسوس الأبيض؟

يقصد بالتسوس الأبيض ظهور بقع بيضاء وهي المرحلة الأولى من تسوس الأسنان، وقد ازداد انتشارها في السنوات الأخيرة، وخاصةً لدى المرضى الذين يخضعون لعلاج تقويم الأسنان. 

يحدث التسوس الأبيض نتيجة فقدان المعادن من المينا بسبب ذوبان هيدروكسي أباتيت (وهو مادة طبيعية توجد في الأسنان والعظام)، ما يُؤدي إلى ظهور مسام في المينا. 

ما أسباب التسوس الابيض؟

ينتج التسوس الأبيض نتيجة عدة أسباب قد تحدث في مراحل معينة لتكون الأسنان والتي تشمل الآتي: 

التسمم بالفلورايد (Enamel hypoplasia) ويحدث بسبب الإفراط في تعرض الأسنان للفلورايد أثناء نموها وقد يظهر على شكل تغير في اللون يتراوح بين البقع البيضاء والبنية، مصحوبًا بحفر أو شقوق.  

الخلل في تكوين المينا (Enamel hypoplasia) وهو عيب في نمو مينا الأسنان. 

نقص تمعدن القواطع الضرسية (Molar incisor hypomineralization) هي حالة تطورية تصيب الأضراس الدائمة الأولى والثانية والقواطع الدائمة، وتظهر على شكل تغيرات مينا الأسنان بلون مختلف وشكل يمكن تمييزه، وقد تتعرض أحيانًا للتكسر والتآكل. 

ما أعراض التسوس الأبيض؟

لا تؤثر عيوب مينا الأسنان على المظهر الجمالي للأسنان فقط، بل أيضًا لها تأثير كبير على حساسية الأسنان ووظيفتها، إذ ترتبط بالظهور المبكر لتسوس الأسنان وسوء الإطباق (عدم تطابق الفكين). 

ما شكل التسوس الابيض؟

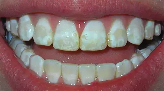
يظهر التسوس الأبيض على شكل بقع بيضاء طباشيرية معتمة على سطح السن تتكون هذه البقع عادةً بالقرب من خط اللثة أو في شقوق الأسنان، وهي علامة مبكرة على فقدان مينا الأسنان للمعادن، والذي قد يؤدي إلى تسوس الأسنان إذا تُرك دون علاج. 

 

ما الفرق بين التسوس الأبيض والاسود؟

يُعد التسوس الأبيض مرحلة مبكرة من تسوس الأسنان ويظهر على شكل بقع بيضاء ناتجة عن فقدان المعادن في مينا الأسنان وفي هذه المرحلة، يكون الضرر قابل للعلاج والعكس وذلك بالعناية الفموية المناسبة. 

نالتسوس الأسود هو مرحلة أكثر تقدمًا إذ يبدو بنيًا داكنًا أو أسود، ما يدل على إصابة وتآكل مينا الأسنان ووصول التسوس إلى طبقة العاج أو حتى عصب السن ويتطلب التسوس الأسود عادةً علاجًا أكثر تدخلاً مثل وضع الحشوات أو علاج جذور الأسنان. 

كيف أعرف التسوس من التصبغ؟

يبدأ تسوس الأسنان عادةً بظهور منطقة ناعمة بيضاء أو داكنة، وقد تكون لزجة أو خشنة مع مرور الوقت، وقد يتحول لونها إلى البني أو الأسود، مسببةً حساسية أو ألمًا. 

أما التصبغ يكون سطحيًا، وينتج عن تناول بعض الأطعمة أو المشروبات أو التدخين وغالبًا ما تكون البقع ناعمة ولا تسبب ألمًا وتُزال بواسطة  إجراء لدى طبيب الأسنان مثل التنظيف العميق والتلميع أو إزالة البقع، بينما يتطلب التسوس علاجًا أكثر شمولًا. 

كيفية إزالة التسوس الأبيض

لا ننصح بـ علاج التسوس الأبيض في المنزل لأن العلاجات المنزلية ليست فعالة وقد تزيد من سوء الحالة. 

تساعد النصائح التالية على إبطاء أو عكس البقع البيضاء المُبكرة لكن لن تُعالج  التسوس الشديد، وتشمل الآتي:  

تنظيف الأسنان بمعجون أسنان مُدعم بالفلورايد. 

المضمضة بغسول فم مُدعم بالفلورايد.  

تقليل تناول السكر للحد من البكتيريا المُسببة للحموضة.  

شرب كميات كبيرة من الماء، وخاصةً مياه الصنبور المُدعمة بالفلورايد.  

مضغ علكة خالية من السكر لتحفيز إنتاج اللعاب، ما يُساعد على إعادة تمعدن مينا الأسنان. 

علاج التسوس الابيض في الاسنان

يعتمد علاج التسوس الابيض في الاسنان على شدة الحالة وتشمل الطرق ما يلي: 

إعادة التمعدن (Remineralization) 

 تُجرى باستخدام منتجات الفلورايد والكالسيوم والفوسفات. يساعد الفلورايد جنبًا إلى جنب مع اتباع طرق الوقاية من التسوس وتقوية مينا الأسنان على علاج التسوس الأولي، ولكنه لا يظهر نتائج تجميلية فورية سواءً تم تطبيقه على شكل ورنيش أو غيره من المنتجات، ويتطلب تطبيقه بشكل متكرر لفترة زمنية محددة.  

 التقشير الدقيق الكيميائي (Microabrasion) 

تستخدم محاليل حمضية مثل حمض الهيدروكلوريك، والكحت الميكانيكي باستخدام أدوات وفرش خاصة ويتمثل مفعول حمض الهيدروكلوريك في تطهير وإزالة مناطق المينا المتضررة، ما يُعزز المعالجة الميكانيكية اللاحقة وتُعد هذه الطريقة آمنة وفعالة، خاصةً في حالات الأسنان الصغيرة (أقل من 0.2 مم)، وعند استخدامها مع تبييض الأسنان. 

تبييض الأسنان (Tooth whitening) 

 يُنصح بالتبييض خاصةً في تسوس الأسنان الأبيض القديم غير النشط. 

طفى البقع وخلّيك تبتسم بثقة! تواصل معنا واحجز جلسة تبييضك اليوم

تطبيق الراتنج (Resin infiltration) 

يُعد تطبيق الراتنج المسامي خيارًا علاجيًا دقيقًا، ويتضمن معالجة مسبقة للطبقة السطحية للأسنان باستخدام حمض الهيدروكلوريك، يليه وضع راتنج منخفض اللزوجة معالج بالضوء. 

يترك الحمض سطح الأسنان الخارجية مفتوحة، جاهزة لتوغل الراتنج لإزالة التصبغ، ويؤدي استخدام هذه الطريقة إلى زيادة صلابة السن مقارنةً بالجزء غير المعالج، ما يؤدي إلى مقاومة أفضل للكسر والتآكل، وقوة شاملة، ومرونة وترجع هذه الميزة إلى أن الراتنج يملأ المسام ويشكل حاجزًا انتشاريًا على السطح وداخل التسوس. 

 جاهز تبدأ علاج تسوسك من غير حفر ولا ألم؟ احجز موعدك اليوم لعلاج التسوس الأبيض بأحدث التقنيات

علاج التسوس الأبيض للأطفال

لا تختلف طرق علاج التسوس الأبيض للأطفال عن البالغين وتشمل الآتي: 

تطبيقات الفلورايد الموضعية: قد يستخدم أطباء الأسنان طلاء أو جل الفلورايد عالي التركيز للمساعدة على إعادة تمعدن مينا الأسنان ووقف تطور التسوس الأبيض.  

 تطبيق الراتنج: للبقع البيضاء الأكثر وضوحًا أو المتقدمة، ويستخدم هذا العلاج الأقل تدخلاً راتنجًا شفافًا لملء المنطقة وإغلاقها، مما يجعلها أكثر مقاومة للتسوس.  

مانعات التسرب: يمكن وضع مانعات التسرب الواقية على الأضراس أو الشقوق لمنع تفاقم التسوس. 

تشمل طرق العناية المنزلية والوقاية (بتوجيه الوالدين):  

استخدام معجون أسنان بالفلورايد مرتين يوميًا للأطفال دون سن 3 سنوات: استخدم كمية صغيرة (بحجم حبة أرز) وللأطفال من 3 إلى 6 سنوات: استخدم كمية بحجم حبة بازلاء. 

 غسول الفلورايد للأطفال الأكبر سنًا (عادةً فوق سن 6 سنوات)، قد يُنصح باستخدام غسول فم بالفلورايد لتقوية مينا الأسنان. 

 تحسين تقنية تنظيف الأسنان بالفرشاة بمساعدة طفلك على تنظيف أسنانه بالفرشاة بشكل صحيح، وخاصةً حول خط اللثة حيث تتراكم البلاك غالبًا. 

 استخدام فرشاة أسنان ناعمة الشعيرات وراقب تنظيف أسنانه بالفرشاة حتى يبلغ 8 سنوات على الأقل. 

 تقليل السكر والوجبات الخفيفة والمشروبات والعصائر السكرية.  

تشجيع الطفل على تقليل السكريات والوجبات الخفيفة الصحية.  

والمحافظة على زيارات منتظمة لطبيب الأسنان قم بزيارة طبيب الأسنان كل 6 أشهر أو حسب التوصية للكشف المبكر والرعاية الوقائية. 

لا تنتظر لين يصير التسوس مشكلة أكبر! زورنا اليوم وخلك مطمّن على صحة أسنانك.

ما أخطر أنواع تسوس الأسنان؟

 

أخطر أنواع تسوس الأسنان هي تلك التي تتطور بسرعة، وتتعمق في بنية السن، أو تؤدي إلى مضاعفات في الجسم كله وفيما يلي أهم الأنواع التي يجب الانتباه إليها:  

 التسوس المتفشي :  

وهو تسوس واسع الانتشار وسريع يصيب عدة أسنان في آن واحد و يمكن أن يدمر الأسنان بسرعة، وغالبًا ما يؤثر على كل من المينا والعاج وهو شائع لدى الأطفال الذين يعانون من سوء نظافة الفم (وخاصة "تسوس رضاعة الأطفال") والبالغين الذين يعانون من جفاف الفم  

 تسوس الجذور: 

   يحدث على أسطح جذور الأسنان، وغالبًا ما يكون مكشوفًا بسبب انحسار اللثة، إذ لا تحتوي الجذور على طبقة مينا واقية، لذلك ينتشر التسوس بشكل أسرع وقد يؤدي إلى فقدان الأسنان وتشمل الفئات الأكثر عرضة للإصابة: كبار السن، الأشخاص الذين يعانون من أمراض اللثة، أو جفاف الفم.  

تسوس العصب (وصول التسوس إلى اللب):  

يُعرف بالتسوس العميق لأنه يعبر مينا الأسنان والعاج إلى لب السن (العصب) إذ يُسبب ألمًا شديدًا، والتهابًا (خراجًا)، وقد يتطلب علاج قناة الجذر أو خلع السن، وقد ينتشر الالتهاب إلى الفك أو الوجه أو حتى مجرى الدم (تسمم الدم). 

وختاماً، نُذكر أن التسوس الأبيض، علامة تحذيرية مبكرة على بدء تسوس مينا الأسنان وقد يبدو الأمر غير ضار في البداية، إلا أن تجاهله قد يؤدي إلى تسوس خطير وعلاج أسنان مكلف في المستقبل ومع الكشف المبكر، والعناية بنظافة الفم السليمة، وتغيير النظام الغذائي، والرعاية الطبية المتخصصة، يمكن في كثير من الأحيان علاج التسوس الأبيض. 

 

 

مشاركة

تسوس الأسنان
اتصل بنا

دعنا نتحدث، تواصل معنا

هل لديك أي استفسار أو تعليق؟ نحن هنا لمساعدتك، أرسل لنا رسالة وسنرد عليك خلال ٢٤ ساعة.

ابدأ رحلتك نحو صحة أفضل الآن

اتصل بنا اليوم لتحديد موعدك وابدأ رحلتك نحو صحة أفضل