

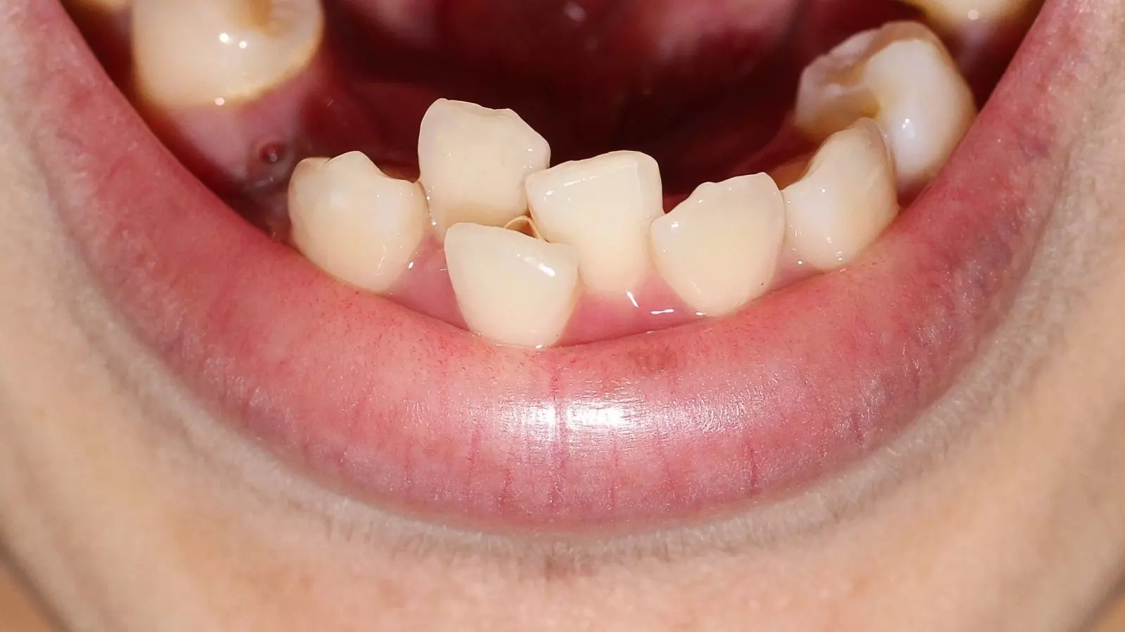
ازدحام الأسنان هو عدم وجود مساحة كافية للسن للظهور بالفم، ما يؤدي إلى خروجها في مكان غير صحيح، فينتج عنه عدم تراص للأسنان العلوية والسفلية، فيحدث سوء الإطباق.
تتسبب عدة عوامل في حدوث ازدحام الأسنان وقد تؤثر في سن واحد أو صف كامل، ومنها:
هناك أنواع عديدة لازدحام الأسنان ويعتمد ذلك على مكان السن بالفك، ومنها:
وهناك تقسيم آخر لأنواع ازدحام الأسنان يعتمد على حساب الفرق بين المسافة المراد وجودها في الفك لظهور الأسنان والمسافة الموجودة في حالة الازدحام وهو:
تشمل أعراض تزاحم الأسنان أو ازدحامها ما يلي:
لا تتسبب ضروس العقل في حدوث ظاهرة الأسنان المزدحمة، ولكنها قد تسبب ألمًا في اللثة والتهابات وتورمًا خاصة خلال خروجها وظهورها بالفم.
يُشخص ازدحام الأسنان بناءً على عدة إجراءات، وهي:
يساعد التقويم بمختلف أنواعه على علاج ازدحام الأسنان، ويستطيع الطبيب وحده تحديد النوع المناسب لكل حالة، وسنتعرف إليها في الفقرة التالية.
فيما يلي نخبركم بأشهر أنواع تقويم تزاحم الأسنان، وهي:
يساعد تقويم الأسنان التقليدي المعدني الثابت على تصحيح وضعية الأسنان، ويتكوّن من قطع معدنية توضع على الأسنان وسلك معدني لشدها، وهو من أشهر أنواع التقويم ويمكن استخدامه للأطفال والكبار.
يعمل أيضًا تقويم الأسنان الشفاف المتحرك (الإنفيزالاين) على علاك مشكلة تزاحم الأسنان الأمامية.
فيما يلي نوضح لكم أشهر أنواع التقويم المستخدمة في علاج تزاحم الأسنانا السفلية.
هناك أجهزة تستخدم في أثناء فترة نمو الفكين من سن 7 - 8 سنوات، مثل: موسعات الفك (Palatal Expansion) في حالة ضيقالفك العلوي وصغره ، إذ يساعد على توسعة المساحة وزيادتها ويوضع في سقف الحلق للفك العلوي .
يساعد أيضًا التدخل الجراحي على علاج حالات اضطرابات الفكين المتقدمة لتعديل وضعهما .
قد يسبب ازدحام الأسنان عدة مشكلات ومنها:
يمكن الوقاية من ازدحام الأسنان في بعض الحالات خلال مرحلة الطفولة، مثل:
تجنب حدوث أي ضغط مستمر على اللثة مثل عادة مص الأصابع أو مص اللسان أو استخدام اللهاية وزجاجة الحليب لعمر متأخر عن الطبيعي، لأنه يؤثر في نمو الأسنان وظهورها بصورة غير صحيحة.
عدم الاهتمام بنظافة الأسنان يؤدي إلى تراكم البكتيريا وتسوس الأسنان، ما يؤدي إلى فقدان الأسنان اللبنية في وقتٍ مبكر، فتميل الأسنان المجاورة إلى غلق الفراغـ وبالتالي يحدث ازدحام الأسنان فيما بعد.
لذلك من الضروري الاهتمام بنظافة الفم ومسح اللثة بشاش معقم بعد الرضاعة، وعند ظهور أول سن يجب استخدام الفرشاة الناعمة المخصصة للأطفال.
إذا شُخص ازدحام الأسنان قبل عمر 10 سنوات، فقد لا يحتاج الطفل إلى تقويم الأسنان لأنه لا يزال في مرحلة نمو العظام .
يعد معجون سنسوداين (Sensodyne) الأفضل، لأنه يساعد على تقليل الشعور بحساسية الأسنان خلال فترة التقويم.
ازدحام الأسنان لا يؤثر فقط في ابتسامة الشخص وثقته بنفسه، ولكنه قد يسبب بعض المضاعفات غير المرغوب فيها، لذلك من الأفضل التواصل مع طبيب الأسنان للوصول إلى أفضل خطة علاجية ممكنة للحصول على أسنان متناسقة وإطباق صحيح.
اختر طبيبك من بين أفضل أطباء أسنان في جدة (أخصائيين واستشاريين | مراكز أندلسية لطب الأسنان) من هنـــا.
مشاركة
هل لديك أي استفسار أو تعليق؟ نحن هنا لمساعدتك، أرسل لنا رسالة وسنرد عليك خلال ٢٤ ساعة.